Download and print as a PDF (174kB pdf)
On this page
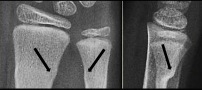
What is a buckle fracture?
Your child has been diagnosed with a Buckle fracture. It is called a Buckle fracture because one side of the bone buckles upon itself but does not disrupt the opposite side; it is an incomplete fracture. Buckle fractures only occur in children because they have softer bones than adults.
A buckle fracture usually occurs when a child falls onto their out-stretched hand.

What is the treatment?
Buckle fractures are treated similarly to sprains and will not result in any permanent bone problems. In this hospital we will fit your child with a removable wrist splint; it should be worn day and night for three weeks, removing it only for hygiene needs (the splint can be hand washed if required).

After three weeks you can remove the splint permanently.
Beware
Your child should not participate in any sports, PE, rough play and/or high impact activities for a total of six weeks after their injury. This is because the bone is still weak and another injury could result in a complete or worse fracture of the bone.
What to expect
Your child will have pain and may have swelling at their wrist; this will settle over a few days to a week. It may be helpful to ease your child’s discomfort with simple pain medications such as paracetamol or ibuprofen.
If after three weeks the pain in your child’s wrist persists, the swelling hasn’t settled or their wrist movement does not improve, you should bring your child back to the Children’s Emergency Department for further assessment.
Our aim is to provide information that will help you understand your child’s injury and enable the appropriate after care.
You can find more injury leaflets to download at our website
Useful numbers
24hr advice line
NHS 111
Practice Plus (Brighton walk-in Centre)
0333 321 0946
Practice Plus GP
0300 130 3333
7 days a week
8:00 am to 8:00 pm
The information in this leaflet is for guidance purposes only and is in no way intended to replace professional clinical advice by a qualified practitioner.