Download and print as a PDF (216kB pdf)
On this page
What is hallux valgus?
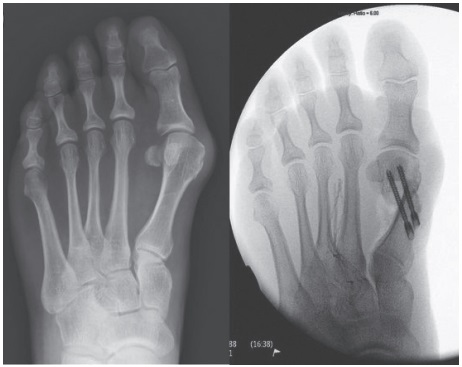
The term hallux valgus means a bunion. This occurs when the big toe joint is leaning into the second toe too much. As the bunion size increases it can start to rub against your shoes causing redness and pain. The foot shape also changes as weight is distributed through the foot differently, increasing foot pain. It is at this stage that surgical intervention is often considered.
What happens during surgery?
The aim of this surgery is to correct alignment of the toes. During conventional surgery, a cut is made to the inside of your big toe, usually around 5cm in length.
With the minimally invasive technique used for hallux valgus surgery, four 3mm cuts are made around the big toe. The surgeon is then able to divide the soft tissue to locate the bone, and make the required osteotomy (cutting of a bone to reshape it through healing).
There are a number of reasons why a minimally invasive technique is preferred by some surgeons; a possible reduction in the risk of infection and pain, a quicker recovery period due to reduced tissue trauma and a reduction in joint stiffness. For further information on this please visit NHS UK: Bunions.

What happens after surgery?
You will have your surgery at the Sussex Orthopaedic Treatment Centre. This is usually done as day case surgery using either; regional anaesthesia (regional nerve block) that numbs your leg, or a general anaesthetic.
After your surgery the recovery staff will give you an orthopaedic flat shoe to protect your foot. You will be wearing the flat shoe for 5 weeks at all times when mobilising.
You will only be able to put weight through your heel for the first two weeks after surgery (heel weight bearing). You will be given a pair of crutches to use for two weeks while heel weight bearing. They are then to be used as necessary, although we would encourage you to discard the crutches by your 6 week follow up appointment.
During the first 2 weeks after your surgery we advise you to rest as much as possible, and to elevate your leg as high as you are able. You can also apply ice to your foot. Elevation and icing of the foot will help to reduce swelling. The swelling can be expected to last for between for 3 to 6 months.
Two weeks after surgery
At 2 weeks you will have a post-operative wound check with a nurse who works in Mr Vernois’ team.
Your bandage will be removed, the surgical wounds assessed and sutures (stitches) will be trimmed if required.
You will be able to fully bathe 5 days after this.
No further dressing is required, however you may still feel rather vulnerable at this stage, and may prefer to have an adhesive dressing applied.
You will then able to fully weight bear. This will be confirmed by the nurse at your appointment.
At 5 weeks post your surgery (1 week before follow up appointment) you can discard your orthopaedic flat shoe. Please wear a shoe with a firm but pliable sole with good forefoot coverage.
Six weeks after surgery
At your 6 week follow up appointment you will see a nurse from Mr Vernois’ team and an x-ray will be taken.
Your surgical wound will be reviewed, which should be healed by this time.
You will be shown exercises that will help you to loosen your toe joints and increase their range of movement.
You can start to drive and resume low impact sports after this appointment.
Three months after surgery
At this stage you will have an appointment with Mr Vernois. An x-ray of your foot will be taken and this will be reviewed. You will then be discharged from his care.
High impact sport can be resumed after this appointment.
This information is intended for patients receiving care in Brighton & Hove or Haywards Heath.
The information here is for guidance purposes only and is in no way intended to replace professional clinical advice by a qualified practitioner.